Die Brustkrebssterblichkeit lässt sich dank besserer Diagnosemöglichkeiten drastisch senken – und das ist nicht nur den bildgebenden Geräten zu verdanken. Vielmehr spielt der menschliche Faktor eine große Rolle: Ein Radiologe, der die Läsionen begutachtet und bewertet, trägt erheblich zur Prognose bei.
Wissenschaftler entdecken immer mehr positive Wirkungen von Ballaststoffen. Warum insbesondere Patienten mit einer Darmkrebserkrankung ein Augenmerk auf eine ballaststoffreiche Ernährung legen sollten, zeigt jetzt einmal mehr das Ergebnis einer prospektiven Kohortenstudie.
Eine Infektion mit dem Erreger Clostridium difficile ist nicht zu unterschätzen: sie kann zu einer signifikant erhöhten Morbidität und Mortalität führen. Insbesondere hospitalisierte Patienten sind gefährdet. Wo die größten Gefahrenstellen für eine Ansteckung sind, haben Sara Murray und Kollegen bei sich an ihrer Universitätsklinik in Kalifornien…
Adipozyten metabolisieren das Mittel Daunorubicin und verringern so die Fähigkeit des Chemotherapeutikums, Krebszellen abzutöten. Zu diesem Ergebnis kommen Forscher des UCLA Mattel Children's Hospital. Dieser Vorgang dürfte zu schlechteren Behandlungsergebnissen beitragen. Details wurden im Fachmagazin „Molecular Cancer Research“ veröffentlicht.
Es gibt einige Krebsentitäten, deren Entstehung durch Rauchen begünstigt wird. Dazu zählen natürlich die Lunge, obere Luft- und Verdauungswege sowie die Blase. Hören die Patienten nach der Diagnose auf zu Rauchen, profitieren die meisten davon durch eine reduzierte Sterblichkeit. Doch eine Krebsform scheint „immun“ gegen den Nikotinentzug.
Nichtmedizinischen Führungskräfte erhalten in diesem Jahr erstmals eine größere Gehaltssteigerung als Ärzte. Dennoch bleibt die Klinikleitung weit hinter den Gehältern der Chefärzte zurück.
staras/stock.adobe.com – Stock photo. Posed by a model.
Menschen mit Tumorerkrankungen sind schmerzmedizinisch zu einem beträchtlichen Teil unter- und fehlversorgt, sowohl bezüglich tumorbedingter Dauerschmerzen als auch hinsichtlich tumorbedingter Durchbruchschmerzen. Das belegen Ergebnisse einer groß angelegten Online-Befragung der Deutschen Gesellschaft für Schmerzmedizin (DGS) e.V. und der Deutschen…
Protonenpumpenhemmer (PPI) sind aus der Gastroenterologie nicht mehr wegzudenken. Doch die langfristige Sicherheit von PPI wird immer mehr infrage gestellt. Auch Magenkrebs könnte eine mögliche Folge der dauerhaften Einnahme sein.
Etwa 40% der Patienten mit fortgeschrittenem Melanom brechen eine Kombinationstherapie mit den Checkpointinhibitoren Ipilimumab und Nivolumab aufgrund schwerwiegender Nebenwirkungen ab. Dermatoonkologen prüften nun, welche Folgen der Therapieabbruch hat.
Bei Frauen mit Östrogenrezeptor-positivem Brustkrebs im frühen Stadium hat sich die endokrine Therapie über 5 Jahre etabliert – schließlich reduziert die begleitende Therapie die Rezidivrate erheblich. Und offenbar reicht dieser Zeitraum auch für die anschließenden 15 Jahre aus, um seine Schutzwirkung zu erhalten.
Voraussetzung für eine schnellere und effektivere Behandlung von Tumorerkrankungen ist die Früherkennung von Zellveränderungen um den Beginn einer Erkrankung zu erkennen. Entsprechende Methoden sind Gewebebiopsien bzw. die sogenannte „Liquid Biopsy“, bei der beispielsweise aus Blut von Patientenproben seltene Tumorzellen isoliert und…
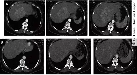
Die Prognose beim Gallengangskarzinom ist stark davon abhängig, in welchem Stadium sich der Krebs befindet. Klar ist: Je schneller der Krebs erkannt wird, umso besser sind die Heilungschancen. Jetzt soll ein neues präoperatives Scoring-System dabei helfen, das postoperative Überleben vorherzusagen.
Die chronische lymphatische Leukämie (CLL) ist die häufigste leukämische Erkrankung in den westlichen Industrieländern. Trotz intensiver Forschung und zunehmendem Erkenntnisgewinn ist die Ursache jedoch immer noch weitgehend unbekannt. Zur Prognose des Krankheitsverlaufs sind Forscher jetzt allerdings einen Schritt weiter: Sie stießen auf den…
Die Idee, Bakterien könnten Krebszellen zerstören, war lange in Vergessenheit geraten. Doch Wissenschaftler am Helmholtz-Zentrum für Infektionsforschung (HZI) lassen den Therapieansatz wieder aufleben: Sie haben Salmonellen so umkonstruiert, dass sie eine aggressive Wirkung gegen Tumorzellen besitzen, diese aber nicht zu stark ist und somit…
Die Androgendeprivation (ADT) ist nicht unumstritten. So gibt es bereits Studien, die für einige negative Effekte der ADT sprechen, so zum Beispiel ein erhöhtes Demenzrisiko oder eine Häufung von Resistenzentwicklungen. Reina Haque et al. ergänzen nun ebenfalls die Liste um mögliches Herzversagen durch ADT.