Etwa die Hälfte aller Ösophaguskarzinome weist eine Überexpression des epidermalen Wachstumsfaktorrezeptors (EGFR) auf. Eine Studie prüfte jetzt die EGFR-Inhibition mit Cetuximab zusätzlich zur Strahlenchemotherapie.
Der Arbeitsgruppe um Jungsun Kim scheint Vielversprechendes gelungen. Die Wissenschaftler entdeckten eine Antikörperkombination aus zwei Markern, die die Früherkennung duktaler Pankreaskarzinomen ermöglicht.
Die europäische prospektive Studie zu Zusammenhängen von Krebs und Ernährung EPIC hat den Einfluss von Kaffee mit und ohne Koffein und Tee auf die Melanomhäufigkeit untersucht. Dabei scheint es Geschlechterunterschiede zu geben: Bei Männern lohnt sich die Tasse Kaffee offenbar mehr.
Das Thema Gleichberechtigung hat viele Facetten: Sie beginnt mit der Bezahlungslücke zwischen Mann und Frau und endet in den eigenen 4 Wänden. Das ist offenbar auch bei Ärzte-Paaren nicht anders. Denn sobald Kinder da sind, bleibt die Frau eher zuhause. Die Arbeitsstunden des Mannes ändern sich dagegen nicht.
Der neue monoklonale Antikörper Girentuximab verbessert weder das krankheitsfreie Überleben noch das Gesamtüberleben bei Patienten mit klarzelligem Nierenzellkarzinom. Außer bei Patienten, die das Oberflächenprotein CAIX ausbilden: Sie haben einen nicht-signifikanten Überlebensvorteil.
Patienten, die an Dickdarmkrebs im frühen Stadium leiden, könnten in Zukunft von spezifischen Gentests profitieren, die ihre Prognose vorhersagen und dabei helfen, die richtige Entscheidung für oder gegen eine Chemotherapie zu treffen.
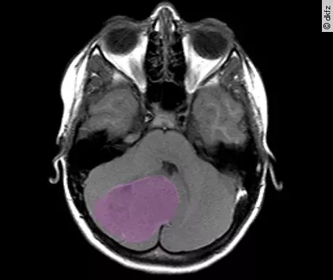
Medulloblastome können in jedem Lebensalter vorkommen, meistens jedoch treten sie bei Kindern auf. Kinder erkranken besonders häufig an Tumoren der Gruppen 3 und 4, die bislang wenig verstanden sind. Die Behandlung von Tumoren dieser Gruppe ist daher häufig schwierig.
Es ist bereits bekannt, dass die Zusammensetzung des intestinalen Mikrobioms für die Häufigkeit von Graft-versus-Host-Erkrankung (GVHD), Bakteriämie und das Gesamtüberleben nach allogener hämatopoetischer Stammzelltransplantation (alloHSCT) eine Rolle spielt. Jetzt gibt es auch einen klaren Beleg für die Assoziation zum Rezidiv- und Progressrisiko. …
Mit der Kombination von Fluorouracil, Oxaliplatin und Irinotecan mit Bevacizumab (FOLFOXIRI-Bev) können beim nicht resektablen metastasierten kolorektalen Karzinom (mCRC) hohe Ansprechraten erzielt und teilweise auch eine Resektabilität erreicht werden. Eine systematische Übersichtsarbeit poolte die bislang publizierten Daten, um die klinische…
Fortschritt in der operativen Therapie und die intensitätsmodulierte Strahlentherapie (IMRT) mit oder ohne eine parallele Chemotherapie haben die lokoregionäre Kontrolle bei Mundhöhlenkarzinomen (OSCC) deutlich verbessert. Problematisch sind immer noch Fernmetastasen, die mit einer schlechten Prognose einhergehen.
In einer Phase-III-Studie zeigte der Checkpoint-Inhibitor Nivolumab Wirkung bei Patienten mit hochgradig therapierefraktärem Magenkarzinom. Im Vergleich zum Placebo bewirkte das Immuntherapeutikum einen Überlebensvorteil von 5 Wochen.
Je älter ein behandelnder Arzt, desto schlechter für einen Patienten im Rentenalter. So könnte man es zumindest nach den Ergebnissen dieser Observationsstudie zusammenfassen. Denn bei Menschen über 65, deren behandelnder Arzt älter als 40 Jahre alt war, nahm die Sterberate kontinuierlich zu.
Das Medizintrauma-Stressmodell geht davon aus, dass die Diagnose einer Krebserkrankung im Kindesalter immer ein traumatisches Ereignis ist, das eine posttraumatische Belastungsstörung (PTSD) zur Folge haben kann. Nach einem Vergleich mit anderen Stressoren im Kindesalter und mit Stressoren von Kindern, die nicht an Krebs erkrankt sind, muss man das…
In der ARISER-Studie haben Karim Charmie et al. untersucht, ob der vielversprechende chimerische Antikörper Girentuximab es schafft, das Überleben bei Nierenzellkarzinom-Patienten mit hohem Progressionsrisiko zu verbessern. Tatsächlich ist ein kleiner Überlebensvorteil messbar – allerdings fällt er nicht-signifikant aus.
Parodontose klingt harmlos, ist es aber nicht. Mittlerweile wurden die Erreger der Zahnfleischentzündung bereits aus zahlreichen Krebsgeweben isoliert. Da dies von enormer gesundheitlicher Bedeutung ist, haben Nwizu et al. den Zusammenhang bei postmenopausalen Frauen untersucht – und bestätigt, dass Parodontose das Krebsrisiko erhöht.