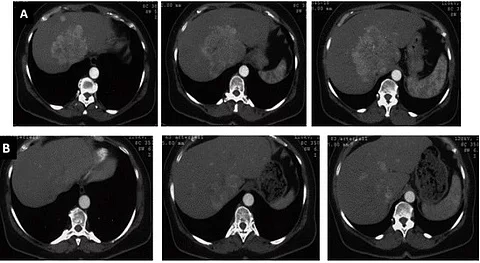
Bei Patienten mit nicht operablem Leberzellkarzinom (HCC) steht mit der Radioembolisation eine Therapie zur Verfügung, die auch im fortgeschrittenen Stadium sicher und effektiv ist. Im Vergleich zu anderen Therapien wird die Behandlung von den Patienten gut vertragen.
Bei einem Hirntumor könnte künftig eine Impfung helfen, das Überleben weit über die bislang akzeptierten Grenzen hinaus zu verlängern. Der Clou: Globlastome bilden ein spezifisches Protein, das im gesunden Hirngewebe nicht vorkommt. Und gegen dieses Protein richtet sich die Impfung – bislang sehr erfolgreich.
Eine neue Methode ermöglicht es, Gehirntumore können im MRT mit einer Glukoselösung sichtbar zu machen. Diese ist für den Körper deutlich weniger belastend als das üblicherweise verwendete Kontrastmittel.
Selbst Hautärzte unterschätzen die Schutzwirkung von Sonnencremes, wenn diese ungünstig dargestellt wird, wie eine Studie unter Leitung des Max-Planck-Instituts für Bildungsforschung zeigt. Verbrauchern kann eine einfache Faustregel helfen.
An der OP scheint kein Weg vorbeizuführen: auch Patienten mit einem nicht-kleinzelligen Lungenkarzinom Stadium IA haben ein signifikant besseres Überleben, wenn das Tumorgewebe entfernt wird und nicht bloß bestrahlt wird.
Nicht nur Acetylsalicylsäure, auch nicht-steroidale Antirheumatika (NSAID) können nach der Diagnose eines kolorektalen Karzinoms das Überleben verbessern. Doch nicht alle Patienten profitieren von den NSAID.
Hoffnung im Kampf gegen Tumore: Bösartige Leberzell- und inoperable Bauchspeicheldrüsentumore sowie gutartige Gebärmuttertumore können vielversprechend mit dem hoch-intensiven fokussierten Ultraschall (USg-HIFU) behandelt werden.
Die endokrine Therapie von HR-positivem Brustkrebs ist ein zweischneidiges Schwert: Einerseits hemmt sie dasTumorwachstum – andererseits fördert sie es. Aromataseinhibitoren begünstigen nämlich die Cholesterinkonzentration – und dessen Abbauprodukt wirkt wiederum östrogen. Eine sinnvolle Ergänzung zur Therapie sind daher Statine.
Junge Menschen, die an Krebs erkranken, haben mit einschneidenden Langzeitfolgen zu kämpfen. Daher ist mehr Aufmerksamkeit für die besonderen Probleme und Bedürfnisse der jungen Krebspatienten notwendig.
Bei Patienten mit NSCLC im Frühstadium war bislang unklar, ob eine viszerale Pleurainvasion ein negativer Prognosefaktor ist. Eine Analyse der bis dato größten Kohorte trifft nun die eindeutige Aussage für Tumorgrößen ≤3cm: Ja, auch diese Patienten haben eine signifikant schlechte Prognose.
In den Sommermonaten sollte man besonders auf die Hygiene bei Operationen achten. Schließlich ist die Inzidenz für postoperative Wundinfektionen (SSI) fast 30% höher als im Winter.
Die meisten Ovarialkrebsfälle werden so spät diagnostiziert, dass die Lebenserwartung der Frauen zu diesem Zeitpunkt drastisch reduziert ist. Um frühere Diagnosen zu ermöglichen, ist es wichtig, Risikofaktoren zu kennen. Einen solchen Faktor haben Wissenschaftler jetzt identifiziert: Diabetes mellitus.
Das Gesamtüberleben nach einem Rezidiv hängt bei Plattenepithel-Karzinomen der Kopf-Halsregion (HNSCC) von verschiedenen Faktoren ab. Darunter die Lokalisation des Primärtumors und die Anzahl der Metastasen.
Kommt ein Patient mit dem Verdacht „Blasenkrebs“ zu Ihnen, können Sie ihm schnell Gewissheit verschaffen. Die urinauswertenden Schnelltests sind bei der Neudiagnose ziemlich genau – insbesondere falls es sich um ein Hochrisiko-Karzinom handelt. Bei der Nachsorge dagegen lässt die Genauigkeit des Tests nach.