Radioembolisation: Beim Leberkrebs mehr als nur eine Alternative
Dr. Claus Christian Pieper
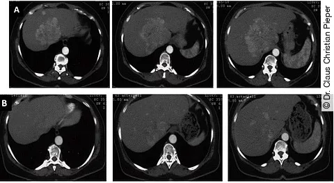
Patient mit großem, zentral gelegenem HCC mit mehreren Satellitenherden unmittelbar vor (oben) und 24 Monaten nach der Radioembolisation (unten).
Bei Patienten mit nicht operablem Leberzellkarzinom (HCC) steht mit der Radioembolisation eine Therapie zur Verfügung, die auch im fortgeschrittenen Stadium sicher und effektiv ist. Im Vergleich zu anderen Therapien wird die Behandlung von den Patienten gut vertragen.
Ihr Zugang zu medizinischem Wissen!
Benutzeranmeldung
Bitte geben Sie Ihren Benutzernamen und Ihr Passwort ein, um sich auf der Website anzumelden.