Denosumab ist in einer niedrigeren Dosierung (Prolia®) zugelassen zur Behandlung der Osteoporose bei postmenopausalen Frauen mit erhöhtem Frakturrisiko sowie zur Behandlung von Knochenschwund im Zusammenhang mit Hormonablation bei Männern mit Prostatakarzinom und erhöhtem Frakturrisiko.
Es gibt einige Krebsentitäten, deren Entstehung durch Rauchen begünstigt wird. Dazu zählen natürlich die Lunge, obere Luft- und Verdauungswege sowie die Blase. Hören die Patienten nach der Diagnose auf zu Rauchen, profitieren die meisten davon durch eine reduzierte Sterblichkeit. Doch eine Krebsform scheint „immun“ gegen den Nikotinentzug.
Nichtmedizinischen Führungskräfte erhalten in diesem Jahr erstmals eine größere Gehaltssteigerung als Ärzte. Dennoch bleibt die Klinikleitung weit hinter den Gehältern der Chefärzte zurück.
staras/stock.adobe.com – Stock photo. Posed by a model.
Menschen mit Tumorerkrankungen sind schmerzmedizinisch zu einem beträchtlichen Teil unter- und fehlversorgt, sowohl bezüglich tumorbedingter Dauerschmerzen als auch hinsichtlich tumorbedingter Durchbruchschmerzen. Das belegen Ergebnisse einer groß angelegten Online-Befragung der Deutschen Gesellschaft für Schmerzmedizin (DGS) e.V. und der Deutschen…
Protonenpumpenhemmer (PPI) sind aus der Gastroenterologie nicht mehr wegzudenken. Doch die langfristige Sicherheit von PPI wird immer mehr infrage gestellt. Auch Magenkrebs könnte eine mögliche Folge der dauerhaften Einnahme sein.
Etwa 40% der Patienten mit fortgeschrittenem Melanom brechen eine Kombinationstherapie mit den Checkpointinhibitoren Ipilimumab und Nivolumab aufgrund schwerwiegender Nebenwirkungen ab. Dermatoonkologen prüften nun, welche Folgen der Therapieabbruch hat.
Bei Frauen mit Östrogenrezeptor-positivem Brustkrebs im frühen Stadium hat sich die endokrine Therapie über 5 Jahre etabliert – schließlich reduziert die begleitende Therapie die Rezidivrate erheblich. Und offenbar reicht dieser Zeitraum auch für die anschließenden 15 Jahre aus, um seine Schutzwirkung zu erhalten.
Voraussetzung für eine schnellere und effektivere Behandlung von Tumorerkrankungen ist die Früherkennung von Zellveränderungen um den Beginn einer Erkrankung zu erkennen. Entsprechende Methoden sind Gewebebiopsien bzw. die sogenannte „Liquid Biopsy“, bei der beispielsweise aus Blut von Patientenproben seltene Tumorzellen isoliert und…
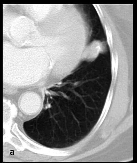
Wir haben gefragt: In dem größeren Lungenrundherd liegen Verkalkungen vor. Können diese als gutartiges Zeichen gewertet werden, so dass der Rundherd nicht weiter abgeklärt werden muss?
Sie sehen einen 2,7 × 1,5 cm großen exzentrisch verkalkten Rundherd in den kaudodorsalen Abschnitten der Lingula mit breitem Kontakt zum Lungenseptum. Ein weiterer 3 mm großer Lungenrundherd befindet sich im 9er-Segment links-subpleural.
Die Prognose beim Gallengangskarzinom ist stark davon abhängig, in welchem Stadium sich der Krebs befindet. Klar ist: Je schneller der Krebs erkannt wird, umso besser sind die Heilungschancen. Jetzt soll ein neues präoperatives Scoring-System dabei helfen, das postoperative Überleben vorherzusagen.
Die chronische lymphatische Leukämie (CLL) ist die häufigste leukämische Erkrankung in den westlichen Industrieländern. Trotz intensiver Forschung und zunehmendem Erkenntnisgewinn ist die Ursache jedoch immer noch weitgehend unbekannt. Zur Prognose des Krankheitsverlaufs sind Forscher jetzt allerdings einen Schritt weiter: Sie stießen auf den…
Die Idee, Bakterien könnten Krebszellen zerstören, war lange in Vergessenheit geraten. Doch Wissenschaftler am Helmholtz-Zentrum für Infektionsforschung (HZI) lassen den Therapieansatz wieder aufleben: Sie haben Salmonellen so umkonstruiert, dass sie eine aggressive Wirkung gegen Tumorzellen besitzen, diese aber nicht zu stark ist und somit…
Die Androgendeprivation (ADT) ist nicht unumstritten. So gibt es bereits Studien, die für einige negative Effekte der ADT sprechen, so zum Beispiel ein erhöhtes Demenzrisiko oder eine Häufung von Resistenzentwicklungen. Reina Haque et al. ergänzen nun ebenfalls die Liste um mögliches Herzversagen durch ADT.
Taxan-haltige Chemotherapien können aufgrund von Nervenschmerzen und -schäden schnell zu einer Dosisreduktion oder gar einem Absetzen führen. Doch auch dann können bis zu 80% der Patientinnen noch Monate später unter den Nervenproblemen leiden. Wie gut, dass kühlende Socken und Handschuhe dieser Problematik vorbeugen.