pingpao/stock.adobe.com

Deutsch-polnisches Kinderkrebszentrum für die Euroregion Pomerania

In der deutsch-polnischen Euroregion Pomerania soll ein länderübergreifendes, telemedizinisch vernetztes Kinderkrebszentrum entstehen. Es werde von der Universitätsmedizin Greifswald und vom Krankenhaus Nummer 1 der Pommerschen Medizinischen Universität Stettin (Szczecin) errichtet, teilte Gesundheitsminister Harry Glawe (CDU) am Donnerstag mit.…

medistock/stock.adobe.com

Rezidiv bei OvarialkarzinomZytoreduktive OP bringt keinen Vorteil

In den meisten Fällen kehrt ein erfolgreich behandelter Ovarialtumor dennoch zurück. Auch beim Rezidiv im fortgeschrittenen Stadium gilt die Zytoreduktion als Verbesserung für die Erfolgschancen der anschließenden Chemotherapie. Erstmalig untersuchten Wissenschaftler diese gängige Vorgehensweise in einer Phase-3-Studie.

powerstock/stock.adobe.com

Unser Weihnachtsrätsel 2019Die Gewinner

Vielen Dank für Ihr zahlreiches Mitmachen beim Weihnachtskugeln Zählen! Unter allen Einsendungen haben wir 3 tolle Päckchen verlost. Das sind die Gewinner:

Sebastian Kaulitzki - Fotolia.com (Symbolbild)

Bewaffnete Antikörper für die Krebsimmuntherapie

Wissenschaftlern des Deutschen Krebskonsortiums (DKTK) und des Deutschen Krebsforschungszentrums (DKFZ) am Universitätsklinikum Tübingen ist es erstmals gelungen, immunstimulierende Botenstoffe so an krebsspezifische Antikörper zu koppeln, dass sie die Immunabwehr gegen den Krebs aktivieren, aber keine gefährlichen überschießenden Immunreaktionen…

peterschreiber.media/stock.adobe.com

Eine Frage des ZusammenhaltsZelltod oder Krebswachstum

Wird der auf allen Krebszellen vorhandene Rezeptor CD95 aktiviert, so löst dies den programmierten Zelltod aus – oder regt im Gegenteil die Tumorzellen zum Wachstum an. Wissenschaftler im Deutschen Krebsforschungszentrum zeigten nun: Wie sich die CD95-Aktivierung auswirkt, hängt davon ab, ob es sich um vereinzelte Krebszellen handelt, oder um…

hematooncology.com
Mit freundlicher Unterstützung von hematooncology.com

Highlights vom SABCS 2019Die Weiterentwicklung diagnostischer Methoden greift

Vom 10. bis 14. Dezember trafen sich die weltweit renommiertesten Brustkrebsforscher bereits zum 42. Mal beim San Antonio Breast Cancer Symposium (SABCS). Diese Tagung bildet traditionell den Schlusspunkt des abgelaufenen Kongressjahres. Die Erwartungen sind stets hoch, wenn sich die internationalen Experten auf dem Gebiet der…

lenetsnikolai/stock.adobe.com

ArztgesundheitDepression führt zu Behandlungsfehlern

Ärzte sind eine Berufsgruppe, welche von Burnout und Depressionen besonders betroffen ist. Oftmals werden erste Symptome ignoriert oder heruntergespielt. Dabei sollten auch erste Anzeichen keineswegs ignoriert werden. Karina Pereira-Lima und Kollegen wollten herausfinden, mit welcher Häufigkeit in diesem Zusammenhang Fehler auftreten.

decade3d - Fotolia.com (Symbolbild)

NSCLC im FrühstadiumStereotaktische Strahlentherapie oder OP?

Während NSCLC im Frühstadium in vielen Fällen noch operierbar ist, wird an manchen Stellen auf eine stereotaktische Strahlentherapie (SBRT) zurückgegriffen. Alexander Chi und Kollegen haben untersucht, welche Methode ein besseres Langzeitüberleben aufweist. Ergänzend wollten sie wissen, ob die Untersuchung und Resektion von Lymphknoten die Prognose…

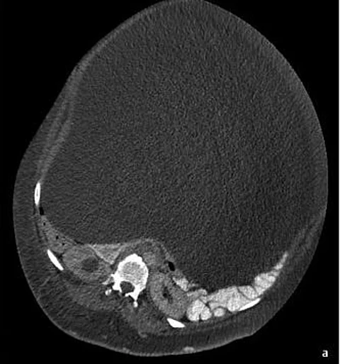
Meyer H, Surov A - Thieme 2019

QuizAuflösung: 43-Jährige mit riesiger abdomineller Schwellung

Befunde

Die kontrastmittelgestützte Computertomografie des Abdomens zeigt einen riesigen, relativ homogenen Tumor, der annähernd den gesamten Bauchraum ausfüllt (etwa 50 × 45 × 33 cm messend). Die übrigen abdominellen Organe werden nach dorsal verdrängt. Es werden keine Metastasen-suspekten Befunde gesehen.

Meyer H, Surov A - Thieme 2019

Quiz43-Jährige mit riesiger abdomineller Schwellung

Eine 43-Jährige stellt sich in der Notaufnahme mit einer seit 2 Jahren langsam wachsenden abdominellen Schwellung vor. Sie leidet nur unter milden Bauchschmerzen, die jedoch in den letzten 2 Wochen stärker geworden sind. In der klinischen Untersuchung sah man eine enorme Schwellung des Abdomens. Zur weitergehenden Abklärung erfolgt eine…

Philip Steury/stock.adobe.com

Darmkrebs in der FamilieRisikoangepasste Früherkennung wird zu selten wahrgenommen

Menschen, deren direkte Verwandte an Darmkrebs erkrankt sind, haben selbst ein erhöhtes Darmkrebsrisiko und sollten daher bereits ab dem Alter von 40 Jahren mit der Vorsorge beginnen. Dies gilt in Deutschland für etwa eine von zehn Personen zwischen 40 und 54 Jahren. Doch fast die Hälfte der Betroffenen nimmt diese Chance der risikoangepassten…

dimasobko - Fotolia.com (Symbolbild)

Frühe Nutzenbewertung § 35a SGB VStellungnahme der AkdÄ zu Ibrutinib

Für Ibrutinib (Imbruvica®) in Kombination mit Obinutuzumab bei erwachsenen Patienten mit nicht vorbehandelter chronischer lymphatischer Leukämie (CLL) ist aus Sicht der AkdÄ kein Zusatznutzen gegenüber Chlorambucil in Kombination mit Obinutuzumab belegt.

Judith/stock.adobe.com

ProstatakrebsEventueller Biomarker entdeckt

Kontinuierlich wird daran geforscht, neue Biomarker für Tumore zu identifizieren. Bei Prostatakrebs ist die Biopsie nach wie vor die einzige sichere Methode einen bösartigen Tumor zu identifizieren. Ein Wissenschaftlerteam um Ana Rita Lima arbeitet aktuell daran, Biomarker für Prostatakrebs im Urin von Patienten nutzbar zu machen.