Pneumo-Quiz: Auflösung: Verkalkungen im Lungenrundherd
Albes - Thieme 2017
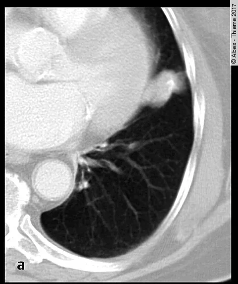
Wir haben gefragt: In dem größeren Lungenrundherd liegen Verkalkungen vor. Können diese als gutartiges Zeichen gewertet werden, so dass der Rundherd nicht weiter abgeklärt werden muss?
Ihr Zugang zu medizinischem Wissen!
Benutzeranmeldung
Bitte geben Sie Ihren Benutzernamen und Ihr Passwort ein, um sich auf der Website anzumelden.