Multiple Choice QuizFIGO-Staging: Welches Stadium sehen Sie hier?

G. Krombach - Thieme Verlagsgruppe

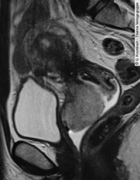
Begutachten Sie die T2w-gewichteten MRT-Aufnahmen sowie das kontrastmittelgestützte CT in der Bildergalerie.

Benutzeranmeldung

Bitte geben Sie Ihren Benutzernamen und Ihr Passwort ein, um sich auf der Website anzumelden.