Uro-QuizVergrößerter Hoden: Nur ein Hämatom?

Seitz et al. - Thieme Verlagsgruppe

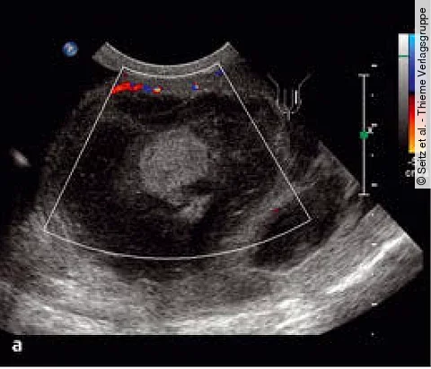
Ein 47-jähriger Mann mit Schwellung des linken Skrotalfachs, Schmerzen und Traumaanamnese stellt sich vor.

Benutzeranmeldung

Bitte geben Sie Ihren Benutzernamen und Ihr Passwort ein, um sich auf der Website anzumelden.