Nebennierenkrebs: Erstmals Leitlinien entwickelt

Burgener F et al. - Thieme 2013

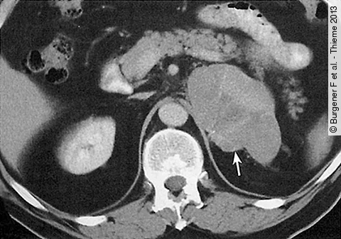
Sie sind selten, aber schlecht behandelbar: bösartige Tumore der Nebennieren. Eine neue europäische Leitlinie gibt jetzt erstmals Vorgaben für ihre Behandlung. Federführend bei der Entwicklung waren Würzburger Mediziner.

Benutzeranmeldung

Bitte geben Sie Ihren Benutzernamen und Ihr Passwort ein, um sich auf der Website anzumelden.