Pressemitteilung: Überraschende genetische Vielfalt bei kindlichen Hirntumoren
dkfz
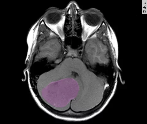
Medulloblastome können in jedem Lebensalter vorkommen, meistens jedoch treten sie bei Kindern auf. Kinder erkranken besonders häufig an Tumoren der Gruppen 3 und 4, die bislang wenig verstanden sind. Die Behandlung von Tumoren dieser Gruppe ist daher häufig schwierig.
Ihr Zugang zu medizinischem Wissen!
Benutzeranmeldung
Bitte geben Sie Ihren Benutzernamen und Ihr Passwort ein, um sich auf der Website anzumelden.