Quiz der WocheAuflösung: Säugling mit Gelbsucht und aufgeblähtem Bauch

Riccabona - Thieme Verlag

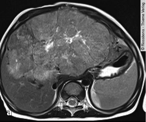
Der Junge hat ein Hepatoblastom.

Benutzeranmeldung

Bitte geben Sie Ihren Benutzernamen und Ihr Passwort ein, um sich auf der Website anzumelden.