Pneumo-Quiz: 22-jähriger Mann mit Verdacht auf Lungenkrebs
Biener L. et al. - DMW 2019
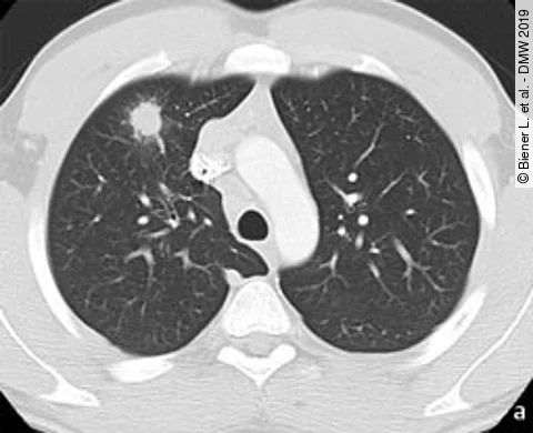
Ein 22-jähriger Nichtraucher wurde mit dem radiologischen Verdacht auf Lungenkrebs vorgestellt. Klinisch bestehen Nachtschweiß, Gewichtsverlust (– 4 kg in 2 Wochen) und abendliches Fieber. Aufgrund eines auffälligen Röntgen-Thorax-Befundes wird eine Computertomografie der Lunge veranlasst, außerdem wurde eine Gewebeprobe entnommen.
Ihr Zugang zu medizinischem Wissen!
Benutzeranmeldung
Bitte geben Sie Ihren Benutzernamen und Ihr Passwort ein, um sich auf der Website anzumelden.