Quiz: 43-Jährige mit riesiger abdomineller Schwellung
Meyer H, Surov A - Thieme 2019
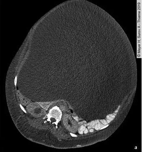
Eine 43-Jährige stellt sich in der Notaufnahme mit einer seit 2 Jahren langsam wachsenden abdominellen Schwellung vor. Sie leidet nur unter milden Bauchschmerzen, die jedoch in den letzten 2 Wochen stärker geworden sind. In der klinischen Untersuchung sah man eine enorme Schwellung des Abdomens. Zur weitergehenden Abklärung erfolgt eine kontrastmittelgestützte Computertomografie des Abdomens.
Ihr Zugang zu medizinischem Wissen!
Benutzeranmeldung
Bitte geben Sie Ihren Benutzernamen und Ihr Passwort ein, um sich auf der Website anzumelden.