Quiz der WocheBuchhändlerin mit Komplikationen nach der Knochenmarktransplantation

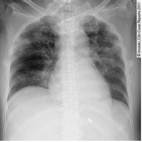
Röntgen-Thorax der Patientin mit Leukämie
Imataki, Clin Case Reports 2017

Nach der Knochenmarktransplantation aufgrund einer Leukämie kommt es bei der Patientin zu Komplikationen. Neben einer Enzephalitis ist auch die Lunge betroffen. 

Benutzeranmeldung

Bitte geben Sie Ihren Benutzernamen und Ihr Passwort ein, um sich auf der Website anzumelden.