Radio-Quiz: Lungenfund bei Lehrer mit gesundem Lebenswandel
Wormanns et al. - Thieme Verlagsgruppe
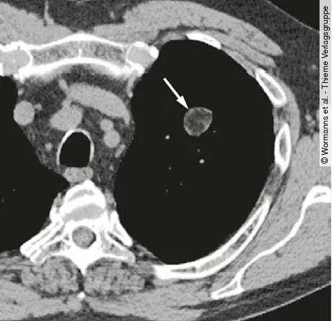
Der 50-jährige Patient kommt infolge einer Bronchusobstruktion zu Ihnen. Er pflegt einen sehr gesunden Lebenswandel, macht regelmäßig Sport, raucht nicht und trinkt selten Alkohol.
Ihr Zugang zu medizinischem Wissen!
Benutzeranmeldung
Bitte geben Sie Ihren Benutzernamen und Ihr Passwort ein, um sich auf der Website anzumelden.