Sachbearbeiter mit Nachtschweiß und Müdigkeit

Well L - Thieme Verlagsgruppe

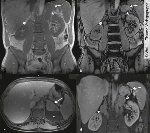
Ein 57-jähriger Mann stellt sich mit Müdigkeit, Gewichtsverlust und  Nachtschweiß vor. In der Laboruntersuchung wurden eine normozytäre Anämie, Hypoalbuminämie, erhöhtes CRP und eine Leukozytose festgestellt. 

Benutzeranmeldung

Bitte geben Sie Ihren Benutzernamen und Ihr Passwort ein, um sich auf der Website anzumelden.