Die meisten Ovarialkrebsfälle werden so spät diagnostiziert, dass die Lebenserwartung der Frauen zu diesem Zeitpunkt drastisch reduziert ist. Um frühere Diagnosen zu ermöglichen, ist es wichtig, Risikofaktoren zu kennen. Einen solchen Faktor haben Wissenschaftler jetzt identifiziert: Diabetes mellitus.
Das Gesamtüberleben nach einem Rezidiv hängt bei Plattenepithel-Karzinomen der Kopf-Halsregion (HNSCC) von verschiedenen Faktoren ab. Darunter die Lokalisation des Primärtumors und die Anzahl der Metastasen.
Kommt ein Patient mit dem Verdacht „Blasenkrebs“ zu Ihnen, können Sie ihm schnell Gewissheit verschaffen. Die urinauswertenden Schnelltests sind bei der Neudiagnose ziemlich genau – insbesondere falls es sich um ein Hochrisiko-Karzinom handelt. Bei der Nachsorge dagegen lässt die Genauigkeit des Tests nach.
Gegen Rezidive hilft die alleinige Resektion der Lebermetastasen beim metastasierten kolorektalen Karzinom (mCRC) nicht. Dafür verschafft eine HAI plus systemischer Chemotherapie einen Überlebensvorteil von 2 Jahren.
Tai Chi ist seit Jahrhunderten fester Bestandteil fernöstlicher Lehren und soll zu mehr Entspannung und innerer Ruhe führen. Dass davon auch ehemalige Brustkrebspatientinnen profitieren, zeigt diese aktuelle Studie: bereits 3 Monate Übung brachten eine langfristige Symptomverbesserung bei Schlaflosigkeit.
Der Austausch eines einzigen Aminosäure-Bausteins in einem Stoffwechselenzym kann Ursache für verschiedene Krebsentitäten sein. Ein Wirkstoffkandidat soll das veränderte Enzym selektiv blockieren – mit Erfolg wie präklinische Studien zeigen.
Das TNM-Staging beim Nierenzellkarzinom teilt bis zu 7cm große Tumoren in das T1-Stadium ein. Geht man nach der Arbeitsgruppe um Bimal Bhindi, könnte es bald einen neuen Cut-Point geben: Sie stellten einen entscheidenden Vorteil für Patienten mit Tumoren bis 3 cm Größe fest.
Bei der offenen Gastrektomie im Rahmen der Tumorbehandlung ist die Gefahr für postoperative Wundinfektionen groß. Eine antibakterielle Prophylaxe kann helfen – sogar eine kurze.
Nivolumab ist ein monoklonaler Antikörper und gehört zur Gruppe der sogenannten Checkpoint-Inhibitoren. Er ist derzeit zugelassen zur Behandlung von Patienten in fortgeschrittenen Stadien des malignen Melanoms, nicht-kleinzelligen Bronchialkarzinoms, Nierenzellkarzinoms und des klassischen Hodgkin-Lymphoms.
Selten, aber mit umso fatalerer Prognose sind Melanome der Gebärmutterschleimhaut. Auch hier gilt – wie bei allen anderen Krebsarten: je höher das Stadium, desto schlechter die Prognose. Bei Stadium III liegt das 2-Jahres-Überleben in dieser Arbeit bei 0. Eine Hysterektomie lohnt sich jedoch in jedem Fall.
Für den Wirkstoff Palbociclib zur Behandlung von Frauen mit hormonsensiblem, metastasiertem Brustkrebs hat der Gemeinsame Bundesausschuss (G-BA) auf der Grundlage der bisherigen Studienergebnisse keinen Zusatznutzen feststellen können.
Ist das KRAS-Gen bei NSCLC-Patienten mutiert, führt dies zu einem Tumorwachstum, das u.a. über das Enzym MEK gesteuert wird. Eine Hemmung dieses Enzyms könnte theoretisch einen Therapievorteil bringen – was sich jedoch in dieser Phase-3-Studie nicht bewahrheitet hat.
Das Gesamtüberleben ist unter Octreotid LAR und Placebo fast gleich. Unterschiede gibt es jedoch je nach Ausmaß der Tumorlast. Diese kann auch als Prädiktor für ein längeres oder kürzeres Überleben fungieren.
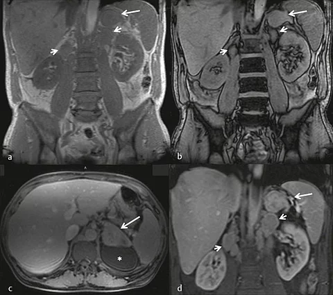
Im MRT zeigt sich ein 7×5×4cm großer solider Tumor der linken Nebenniere mit inhomogenen Signalintensitäten in den nativen T1- und T2- gewichteten Sequenzen. Innerhalb des Tumors zeigten sich eine Diffusionsrestriktion sowie zentrale Hypointensitäten in der kontrastmittelangehobenen T1-Wichtung mit randständiger Anreicherung (Bildergalerie).